What to Know About Macular Degeneration 

Macular degeneration (MD), more accurately known as age-related macular degeneration (AMD), is a common eye condition that affects the central part of your vision. 

The macula is the part of the retina responsible for seeing fine detail—things like reading, recognising faces, and driving. Over time, these cells can gradually wear down, leading to patchy or distorted vision.

Just like we notice grey hair or wrinkles as we get older, changes are also happening inside the eye—but you can’t see these in the mirror. Fortunately, your optometrist can detect early signs using retinal photos and OCT scans during a regular eye exam.

What is Macular Degeneration—and Who Gets It?

Macular degeneration is a degenerative condition that causes distortion or loss of central vision.

Put simply—if we live long enough, many of us will develop some level of macular degeneration. It generally develops slowly over many years, and the early signs are seen in a routine eye examination. The goal is to slow down, not speed up the aging process.

  • Some notice changes in their 60s

  • Most people in their 70s have early signs, that don’t yet affect their vision

  • Others maintain good macula health into their 80s

Early Signs of Macular Degeneration

Macular degeneration rarely appears “suddenly”—there are usually early warning signs.

These warning signs are best detected during a comprehensive eye exam, including:

  • Vision testing

  • Retinal imaging with photos

  • OCT scanning (to see deeper retinal layers)

Retinal photo Normal Macula

What your optometrist sees:

The earliest signs are small pale deposits called drusen. These are like “cellular waste” that builds up in the retina over time.

As drusen increase:

  • The retina becomes less healthy

  • The macula may start to distort

  • Vision can gradually be affected

What you might notice:

  • Straight lines looking wavy or distorted

  • Difficulty reading full words (seeing parts instead)

  • Patchy or blurred central vision

You may be given a simple grid (Amsler grid) to monitor changes at home.

Retinal photo of drusen in Macular Degeneration

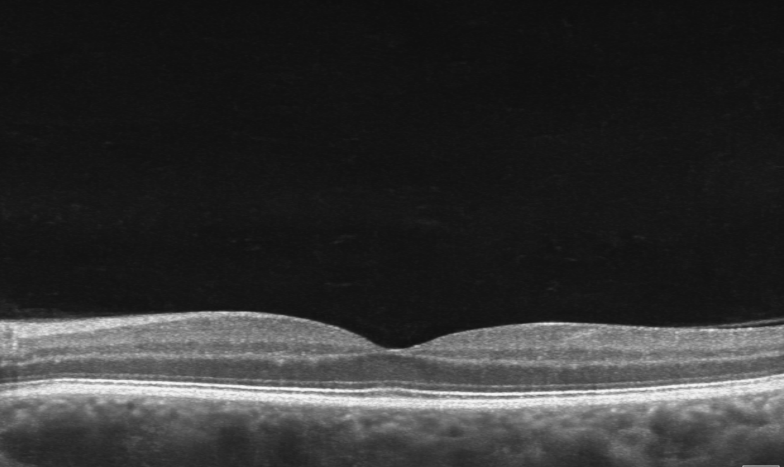
OCT image of normal macula

What Can You Do to Protect Your Vision?

1. Have Regular Eye Exams

Regular eye examinations are the most important step.

At Visique CapitalEyes Optometrists, we:

  • Show you images of your retina

  • Explain any early changes

  • Recommend how often you should return, based on the rate of change and severity of the signs.

For some people, every 2 years is enough. Others may need more frequent monitoring with OCT scans.

Early detection means early treatment if needed—which can save vision.

2. Don’t Fast-Track the Ageing Process

Lifestyle plays a big role in macular health.

Protect your eyes by:

  • Not smoking

  • Managing blood pressure and cholesterol

  • Wearing sunglasses for UV protection

  • Eating a diet rich in leafy greens and colourful vegetables

  • For some people a dietary supplement with vitamins and anti-oxidants may help reduce risk of further progression - our optometrists at CapitalEyes can advise on this

Managing Macular Degeneration

If macular degeneration progresses, the key concern is whether fluid develops in the retina.

If this happens:

  • You’ll need urgent referral to an ophthalmologist

  • Treatment may involve injections to stabilise vision

  • Early treatment gives the best outcomes

Regular monitoring (sometimes every 3–6 months) ensures nothing is missed.

OCT image of drusen in Macular Degeneration

Practical Tips for Living with Macular Degeneration

Small changes can make a big difference:

💡 Improve lighting
Good lighting—very close to what you’re reading—can dramatically improve vision.

🔍 Make things bigger

  • Increase text size on devices

  • Use larger screens

  • Consider magnifiers or glasses focussed closer

📱 Use technology
Modern devices can help with:

  • Zoom in easily

  • Read text aloud

  • Enhance contrast

Keep up with technology, it is your friend. And yes—grandkids are usually great tech support!

Knowing that as we all live longer than ever, we will all likely retire from driving at some stage.  Having a plan around this, helps you and others manage if your vision changes.

What Our Karori Optometrists Want You to Know

  • Macular degeneration is usually slow and manageable

  • It is not truly sudden, even if it feels that way

  • Regular checks help detect risk early, and assess rates of change

  • With your optometrist taking the time to explain, it helps you and your family understand your vision and possible changes, making an MD diagnosis a more manageable health condition

  • Sudden changes should always be assessed urgently

We see macular degeneration every day in Karori and help patients manage it with personalised advice.

With the right care, knowledge, and support, macular degeneration becomes far less frightening—and far more manageable.

Previous
Previous

Myopia in Children: Why Early Detection Can Be Life-Changing

Next
Next

Millennials, Presbyopia, and the Sudden Need for Longer Arms